Implantologie à la Clinique de Parly II - 78150 Le Chesnay
Docteur en médecine et stomatologiste à proximité de Versailles-Docteur Jean-Michel PONS MOUREOU
Accueil
Notre cabinet
Où sommes-nous?
Vidéos pédagogiques
Infos patient
Contactez nous
Accès au questionnaire pré-RDV
21 rue Moxouris, 78150 Le Chesnay
01 39 63 70 24
Accueil
Notre cabinet
Où sommes-nous?
Vidéos pédagogiques
Infos patient
Contactez nous
Accès au questionnaire pré-RDV
Implantologie à la Clinique de Parly II - 78150 Le Chesnay
Docteur en médecine et stomatologiste à proximité de Versailles-Docteur Jean-Michel PONS MOUREOU
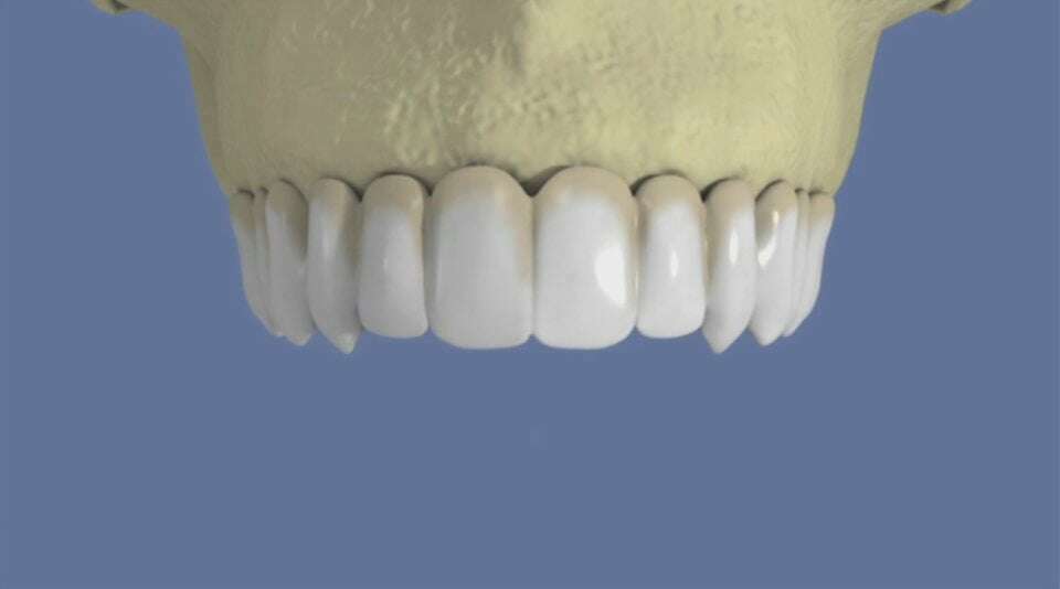
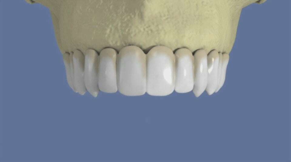
Maxillaire : bridge vissé sans fausse gencive
Vidéos 3D
Partager
Twitter
Partager
Partager
Envoyer
Copier
Implantologie à la Clinique de Parly II - 78150 Le Chesnay
21 rue Moxouris
78150
Le Chesnay
01 39 63 70 24
Politique de confidentialité et charte cookie
Mentions légales
Conditions Générales Utilisation
Charte déontologique
Ordre national
Annuaires chirurgiens dentistes
Hygiène & Asepsie
Honoraire & remboursement
Création par
Connexion